Kardiale Bildgebung: MRT
Magnetresonanztomographie (MRT)
Die MRT bietet die Möglichkeit die Anatomie des Herzens, die Funktion der Herzkammern und die Morphologie des Herzmuskels detailliert darzustellen. Dazu arbeitet die Methode ohne Röntgenstrahlen. Die Untersuchung findet in einer großen Röhre statt (Durchmesser ca. 70 cm), zudem weht ein leichter "Wind", so dass die meisten Patienten kein Engegefühl empfinden. Je nach Fragestellung dauert die Untersuchung ca. 45 min, dazu kommt die Zeit zum Lagern, so dass wir insgesamt mit ca. 60 min planen.
Nachstehend finden Sie einige Beispiele, welche Fragen mit der MRT beantwortet werden können:
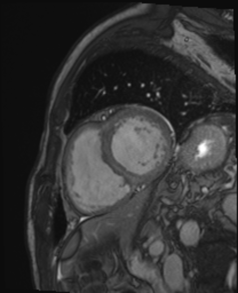
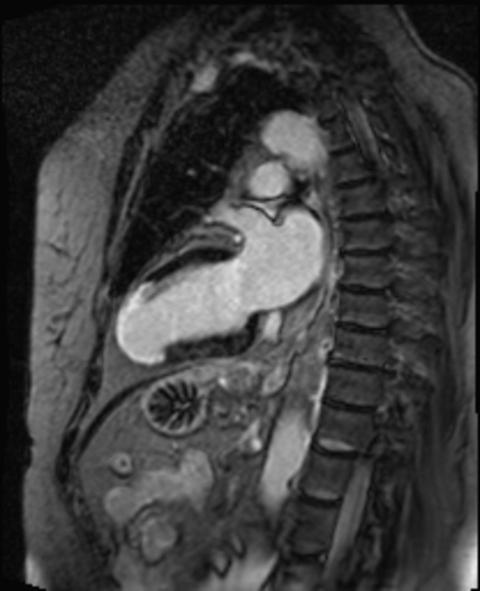
Mittels kardialer Magnetresonanztomographie (MRT) kann die Größe und Funktion des Herzens gemessen sowie Erkrankungen des Herzmuskels oder der Herzklappen genau charakterisiert werden. Des Weiteren ist die kardiale MRT die Methode der Wahl zur genauen Diagnose und Nachsorge bei angeborenen Herzfehlern. Da bei einer MRT-Untersuchung nur Magnetfelder und Radiowellen zum Einsatz kommen, sind Nebenwirkungen durch ionisierende Strahlen wie bei herkömmlichen Röntgenuntersuchungen ausgeschlossen.
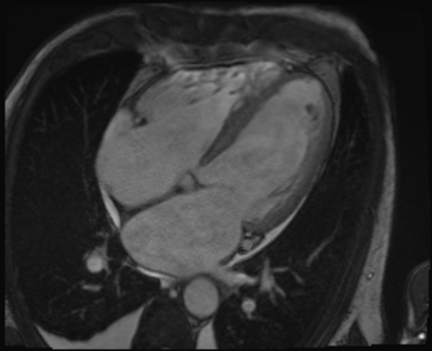
Bei einem Herzinfarkt wird ein Teil des Herzmuskels geschädigt, was zu einer Vernarbung des Herzmuskels in diesem Bereich führt. Mittels kardialer MRT kann eindeutig festgestellt werden, wie weit die Vernarbung fortgeschritten ist und wie viel gesunder Herzmuskel noch zur Verfügung steht. Diese Information ist wichtig zur Planung der weiteren Behandlung des Herzinfarktes zum Beispiel mittels Medikamenten, Herzkatheter oder Bypass-Operation.








