Kardiale Bildgebung: Computertomographie (CT)
Die Computertomographie des Herzens ist eine schonende, schnelle und aussagekräftige Untersuchung. Die Untersuchung wird ambulant durchgeführt.
Was leistet die Computertomographie des Herzens?
Die hochauflösende CT-Angiographie des Herzens ist ein modernes Röntgenverfahren. Es ermöglicht detaillierteste Einblicke in die Gefäße des Herzens (Herzkranzgefäße). Durch die schnelle Rotation des CT können in Sekundenbruchteilen die Kranzgefäße dargestellt werden. Durch Verwendung von strahlenreduzierender Technik ist die Strahlenbelastung so gering wie möglich. Selbst geringe Verkalkungen oder Plaques – wichtig für die Herzinfarkt-Vorsorge – können dargestellt werden.
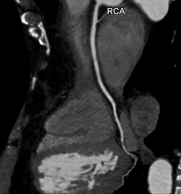
Darstellung der rechten Herzkranzarterie. Es kann die Gefäßwand und das Lumen präzise dargestellt werden.
Eignet sich die Technik zur Vorsorge (Herzinfarkt)?
Schonende und präzise Diagnostik – gerade für die Vorsorge (Prävention) von Herzerkrankungen ist dies eine wichtige Maxime. Die CT-Technik ist besonders gut zum Ausschluss einer koronaren Herzerkrankung geeignet, da sie einen hohen negativen prädiktiven Wert hat. Das heißt: Zeigt das CT keine Verkalkungen, Plaques oder Verengungen, ist der Patient mit hoher Wahrscheinlichkeit gesund. Das kann unmittelbar einen Einfluss auf die Vermeidung von Herzinfarkten und Schlaganfällen haben. Werden bei der Untersuchungen Plaques oder Verengungen festgestellt, kann die Behandlung mit Medikamenten (Cholesterinsenkern) sinnvoll sein. Im Umkehrschluss können diese Medikamente aber auch vermieden werden, zeigen sich keinerlei Gefäßveränderungen.
Die besondere Stärke der CT-Diagnostik ist der sogenannte niedrige negativ prädiktive Wert: Ist eine Koronare Herzerkrankung (KHK) mit Engstellen im CT ausgeschlossen, hat der Patient mit sehr hoher Sicherheit keine KHK. Daher wird bei Patienten mit niedrigem bis mittleren Risiko von vielen Fachgesellschaften primär das Herz-CT empfohlen.
Darstellung der rechten Herzkranzarterie bei einem Mitte Sechzig Jahre alten Mann. Unspezifische Symptome führten zu der CT Untersuchung. Es zeigen sich erhebliche Fettablagerungen (dunkle Stellen) mit deutlichen Einengungen.








