Intervention: Schmerztherapie
CT-gesteuerte Infiltration von Gelenken zur Schmerztherapie
Radiologische Techniken erlauben eine überlagerungsfreie Darstellung der individuellen Anatomie. Daher ist es möglich, z.B. mittels CT, schmerzhafte Strukturen zu lokalisieren und gezielt Medikamente zu applizieren. Sie liegen zu der Maßnahme auf dem Bauch und vom Rücken her wird mit sehr dünnen Nadeln das Medikament präzise an die gewünschte Stelle (siehe unten) gespritzt. Die Untersuchung dauert ca. fünf bis zehn Minuten und wird ambulant durchgeführt. Sie müssen nicht nüchtern sein. Bei richtiger Indikationsstellung können Patienten mitunter schon nach der ersten Behandlung eine Besserung der Beschwerden erfahren. Oft ist jedoch eine Wiederholung der Behandlung im Abstand von einigen Wochen erforderlich, bevor endgültige Beschwerdefreiheit eintritt.
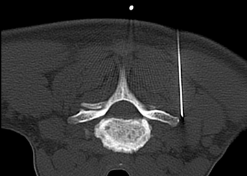
Facetten-Infiltration
Patienten mit Rückenschmerzen z.B. haben oftmals degenerative Veränderungen der kleinen Wirbelgelenke. Hier erlaubt die lokale Applikation von Betäubungsmitteln und ggf. entzündungshemmenden Medikamenten eine Linderung der Beschwerden. Diese sogenannte "Facetten-Infiltration" wird routinemäßig an der gesamten Wirbelsäule (Halswirbelsäule, Brustwirbelsäule und Lendenwirbelsäule) durchgeführt.
Das Beispielbild zeigt die Position der Nadeln zu den kleinen Wirbelgelenken, welche erheblich degenerativ verändert sind. Nach der Prozedur war die Person für fast 6 Monate schmerzfrei.
Periradikuläre Therapie
Die Periradikuläre Therapie (PRT) ist die bildgeführte, perkutane Applikation von Medikamenten direkt an einer Nervenwurzel kurz nach ihrem Austritt aus dem Wirbelsäulenkanal. Es gibt 2 Gründe um diese Therapie durchzuführen: Zum einem die sogenannte „therapeutische PRT“ zur Linderung von Schmerzen, die als Folge einer Kompression oder Reizung einer Nervenwurzel auftreten. Zum anderen die „diagnostische PRT“, deren Ziel es ist, bei unklarer Zuordnung der Beschwerden, beispielsweise infolge von Bandscheibenvorwölbungen in mehreren Etagen, die Höhe zu identifizieren, deren operative Entlastung am ehesten zur Schmerzfreiheit führt. Bei neurologischen Ausfällen ist die PRT jedoch auf keinen Fall ein Ersatz für eine operative Entlastung der geschädigten Nervenwurzel.
Auf dem Beispielbild ist die genaue Position der dünnen Nadel im Bereich des Austrittspunktes eines Nerven im Bereich der Halswirbelsäule zu erkennen.








